本来必要である歯を失ってしまった時、入れ歯にどうしてもなじめないと感じたとき、『インプラント』という言葉が普通に頭に浮かぶ、そんな「市民権」を得たインプラント治療について発展してきた背景から、当院で行っている治療の流れを紹介します。生体は、免疫の働きで入ってくる異物を排除しようとします。その異物であるはずの金属が生体内(骨)でしっかり結合するという驚くべき発見が、ヨーロッパのスウェーデンの医師により、実験中偶然になされました。
その医師、ブローネマルク博士が初めてインプラントを実際に人間に対して埋入された日が1965年9月29日ですので、すでに45年(2010年12月現在)が経過しています。日本でも博士が完成させた「安全性の高いインプラント治療」が導入されてから22年(2010年12月現在)が経っています(いろいろな意味で無理のあるインプラント治療はもっと以前から存在していました)。
治療法、治療費用の説明を受けて、メリットとデメリットを知っていただきます。十分に理解・納得して選択してください。
| 治療法 | ||
|---|---|---|
|
||
| 特徴 | 治療の期間 | 注意点 |
|
|
|

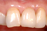
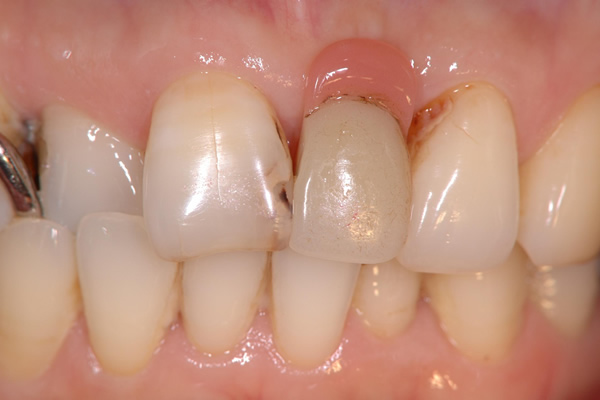
インプラント治療は、インプラントを骨に埋入することではありません。冠(かぶせもの)をして、しっかり咬めるようになることでで初めてインプラント治療をする意味があります。そのためには歯ぐきの治療、かみ合わせの治療など事前に行うべきことがあります。
インプラント体(フィクスチャーと呼びます)を骨に埋入します。
成功のカギを握る手術。
インプラント体が骨と十分に結合するのを待って、インプラント体に仮の頭(テンポラリージンジバルカフ
またはヒーリングアバットメント)を取り付けます。
咬み合わせの記録
必要があれば、できあがる前の段階で実際のお口にピッタリ合いそうか、そのまま最後まで仕上げていいのか、前歯であれば長さ・出っ張り具合、色の確認などのチェックを行う場合があります。
インプラント治療に使われる本体(フィクスチャー)には基本的に「チタン」が使用されます。ブローネマルク博士が骨とチタンが結合するという世界の常識を覆すような発見以来、その結合について多くの研究が行われて科学的な根拠に裏付けされており、チタンは歯科医療だけではなく、医学の多くの分野で広く応用されています。
近代のインプラントで用いられる材質はチタンで共通しています。ほとんどのインプラントでこのチタンの周りに生体への適合性を向上させるために様々なコーティングをされて居ますが、その種類は、大きく分けて2つです。1つは酸化膜をコーティングする方法で、一般的に『チタンインプラント』と呼ばれているもの、もう1つはハイドロキシアパタイト(HA)をコーティングされているインプラントです。ハイドロキシアパタイトとは骨や歯を構成している成分であり、同じ成分を有する骨との結合の強さは圧倒的にチタンインプラントを凌駕(りょうが)しています。
当院ではすべてのケースにおいて、上記のHAインプラントの中で、最も質の高いカルシテックインプラントを使用しています。「最高の材料、機器を使用する」ことは当院のポリシーです。歴史があり、臨床結果の優れているカルシテックインプラントはこれにピッタリ合致するインプラントです。
インプラント治療は、保険が適用されません。
当院では、質が高いゆえに材料費が決して安価ではないカルシテックインプラントを使用しています。被せものも優秀な技工士が製作することで自分の歯と見分けが難しいほどのものを装着することができます。その中で下記治療費で施術しております。
| ○ 1次手術+2次手術 | 170,000円 |
|---|---|
| ○ 補綴治療(被せもの、冠装着) | 150,000円 |
| ○ 上顎前歯部 | +50,000円 |
| ○ 骨が少なく人工の骨で補綴する必要がある場合 | +50,000円 |
当院が使用しているHAインプラント(カルシテックインプラント)はチタンインプラントと比較してより早く骨と十分な結合が得られると言われています。ただ、十分条件がよい骨であっても1次手術から8〜10週は骨内で安静に放置した方がよいと考えられているために、補綴治療までにはどんなに早くてもインプラント埋入から3ヶ月の期間が必要となってきます。
患者さんからの質問で最も多いのが、「どれくらいもちますか?」「一生もちますか?」というものです。
インプラントを希望される患者さんの年齢は20歳代から80歳代までさまざまです。このかた全員に「大丈夫です。一生もちますよ。」と答えることはできません。
その理由の一つにインプラントの歴史が患者全員の年齢層を保証するほど長くはないこと、もう一つ、より大きなわけが、患者自身のセルフケアや歯科医院での定期的なメインテナンスをされているかどうかで予後が大きく異なるということです。
インプラント体はよほど無理な力が加わらない限り半永久的に使用できる素材ですが、治療後のケア次第では、自分の歯と同様に歯槽骨(歯を支える骨)が溶けてインプラント周囲炎になる可能性があります。インプラント周囲炎が悪化すれば抜けることもあるために、一様に太鼓判を押すことができないというわけです。
(2)の相対的非適応の患者さんは、生活習慣を改善したり、医科・歯科の治療を受け症状がコントロールされていれば
インプラント治療ができる可能性があります。
| 修復方法 | 良い点 | 考慮する点 | その他 |
|---|---|---|---|
| ブリッジ |
|
|
|
| 義 歯 |
|
|
|
インプラントのメリットは、天然歯とほぼ同様の咬む機能を回復できることはもちろん、精神的な若々しさを取り戻すという点にもあります。中高年の患者さんに「義歯は抵抗がある」とインプラント治療を選ばれる方が増えているのも事実です。
このようなメリットをもつインプラントだからこそ、快適さを長く維持していただくためには定期的なメインテナンスが必要不可欠です。インプラント治療には区切りがあっても完了はありません。定期的に来院していただき、咬み合わせの力を綿密に調整し、プロフェッショナルなクリーニングをしましょう。また、丁寧なセルフケアを心がけてください。
![]() |
![]() |
歯科治療では、インプラント治療に限らず見えない部位を診断するために上図のようなレントゲン写真を撮影する必要があります。
当院では、確実な現像・定着・水洗・乾燥・保存処置を行うことで考えられる最高のレントゲン写真の質を確保しています。
しかしながら、立体的な被写体(歯、顎骨など)に対してフィルムやパソコン上に写っているものはあくまで平面的な(2次元的な)像で実物とは異なります。
私たち歯科医師は知識と経験から頭の中で得られた画像を立体的にふくらませているというのが一般的なのです。
そこには像のゆがみや、実際の治療の段階で想定外の口腔内の状態であることが多くあるのも事実です。
CT 撮影をすることによってインプラントを埋入する骨の状態(厚み、高さ、欠損状態、密度)や神経・血管の位置をあらかじめ正確に把握でき、安全に速いインプラント治療が可能となりました。
いまやインプラント治療は特別な処置ではありません。
患者様の全身の状態にもよりますが、少数歯の欠損であれば(失っている歯の本数が少なければ)インプラントがベストの選択であると考えています。