普段の歯磨きでは落としきれないプラーク(歯垢)や歯石、コーヒーや紅茶、タバコのヤニなどによって着色した部分を様々な方法で取り除き、もともと持っている歯の美しさを再現します。
着色、変色してしまった歯を、薬品を使って白くする方法で、ブリーチングとも言われます。本来の歯よりも白くすることが可能ですが、人によって個人差があることと、色が後戻りすることを心にとめておいてください。
神経が生きている状態での漂白は、基本的に「ホームブリーチング」と呼ばれる自宅で患者さん自身に行ってもらうものが中心となります。2週間前後、薬剤を歯の表面から浸透させることで歯の色を少し白くすることができるというものです。神経の治療を行った上で行う漂白治療ほど劇的なものではありません。
![]() 術前 |
![]() |
![]() 術後 |
ホワイトニング前 |
![]() |
ホワイトニング後 |
![]() |
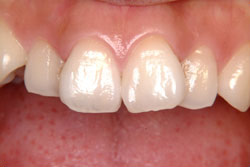
右上2本の歯は、神経がとられており、更に詰めものが綺麗でなかったため、被せものをしました |

【参考】
治療費
■ ホームブリーチング → お口の中全体で約5万円
■ 無髄(神経の治療が既に行われている)歯の治療 → 健康保険で治療ができます
保険治療で行うプラスチックによる修復物は透明感がないために自分の歯と違いがはっきりとわかります。当院では、サンライズセラミックやメタルボンドと呼ばれるセラミックを用いたかぶせものを行い、自分の歯と見分けがつかないきれいな歯をよみがえらせる修復を行います。
![]() ▲術前 |
![]() |
![]() ▲術後 |
| クリックで拡大画像が開きます。 | ||
![]() ▲治療前(保険前装冠) |
![]() |
![]() ▲治療後(メタルボンド冠【保険外治療】) |
![]() ▲修復部のみ拡大 |
||
| クリックで拡大画像が開きます。 | ||