長崎県松浦市の歯科 末竹歯科医院

Suetake Dental Clinic 末竹歯科医院
当院は、滅菌・消毒にこだわっております。院内の空気や、フロアの清潔を保っています。安心して、ご来院くださいませ。
Access Map まずは、気軽にお電話下さい。TEL:0956-72-5072 〒859-4501 長崎県松浦市志佐町浦免1344 【月・火・木・金曜日】 9:00 am 〜 6:00 pm【水・土曜日】9:00 am〜12:30 pm
末竹歯科 院長 末竹和彦 院長ブログはこちらをクリック

末竹歯科メニュー

  • 医院紹介
  • スタッフ紹介
  • 滅菌・消毒
  • 顎顔面口腔育成治療
  • インプラント
  • エステティック(審美)
  • 歯内治療
  • 歯周治療
  • 歯の外傷
  • 無痛治療
  • レーザー治療
  • 虫歯予防
  • 咬合治療
  • 睡眠時無呼吸症候群
  • バイオブロック治療が可能な歯科医院
  • 健康コラム 歯っぴー
  • 院長ブログ
長崎県初 歯科専用CT導入

医院紹介

  • Home
  • 歯の外傷
  • 歯の外傷
  • 破折性の外傷
  • 脱臼性の外傷
  • 診査
  • 症例

歯の外傷

歯の外傷の治療は歯科におけるER(Emergency Rescue)

歯と歯周組織の構造多くの歯科疾患は、おおざっぱなくくりでいえば「慢性疾患」で、あとはどの段階で患者さんが異常に気づかれるか、いつ来院されるかでその緊急度が異なるだけです。仮に急性の痛みがあっても、組織学的に言えば症状は徐々に進行していたはずですので、やはり慢性疾患の一つと言えます。

しかし、「外傷」は違います。外傷に対する処置は明らかに「救急処置」で、それも歯の命を考えると、「救命救急処置」です。

この救急処置が必要な、歯科における外傷は以下のように分類することができます。

破折性の外傷

(1)エナメル質の亀裂
エナメル質の不完全なひび
(2)歯冠破折
エナメル質、あるいはエナメル質と象牙質の破折
a. 神経の露出を伴わない単純歯冠破折
b. 神経の露出を伴う複雑歯冠破折
(3)歯冠-歯根破折
エナメル質、象牙質、さらに歯根(セメント質)に及ぶ破折
(4)歯根破折
象牙質、セメント質、神経(歯髄)を巻き込んだ破折
破折性の外傷

※画像をクリックすると、拡大画像が開きます。

脱臼性の外傷

※画像をクリックすると、拡大画像が開きます。
(1)振盪・亜脱臼
歯の位置変化、歯の動揺を伴わなず、歯周組織への障害がわずかな場合を振盪。
歯の位置変化は伴わないが、わずかに歯の動揺と歯周組織への障害があることを亜脱臼と呼ぶ。
どちらも、歯根のまわりの歯根膜への血流障害はほとんどないが、亜脱臼の場合、神経への血液供給の役割を担う「脈管」が断裂している可能性がある(神経が死んでしまう可能性あり)。
(2)挺出性脱臼・側方性脱臼
抜ける方向、あるいは横方向へ歯の位置変化が起こっている。どちらも歯根膜への血液供給は完全に離断されていないが、神経への血液供給は完全に離断されている可能性が高い(神経がしんでいる可能性が高い)。
(3)脱離
歯が完全に支持組織(歯肉、歯槽骨)から抜けてしまった状態。
(4)埋入
歯が骨(歯槽骨)の中へめり込んだ状態。
(5)軟組織の裂傷(れっしょう)と歯槽骨の骨折
歯肉、唇、口蓋(内側のうわあごの部分)などの軟組織の外傷と、歯を支えている歯槽骨の骨折。
脱臼性の外傷 脱臼性の外傷
【図は「外傷歯の診断と治療」月星光博著より引用改変】

患者さん、親御さん(患者がお子さんの場合)、学校の先生、スポーツクラブの先生にお願いいたいのは、「脱離」以外は、そのままの状態でできるだけ早く来院していただきたいということです。損傷を受けてから時間が経つほど、経過は思わしくないものとなります。
もし、歯が完全に抜けてしまった場合には、よくテレビなど伝えられているように、清潔な容器に牛乳を入れ、その中に抜けた歯を入れて持参してください。

↑Pagetop

診査

問診、口腔内検査、X線検査を素早く、的確に行い、どのようなダメージが歯や神経、歯周組織に及んでいるかを把握します。もし処置が必要と判断すれば、熟練したスタッフ一同で考えられる理想の処置を施します。顔など口の中以外の部位、あるは顎の骨の大きな骨折など優先すべき処置が他にあれば、関係機関に連絡をとるようにいたします。

↑Pagetop

症例

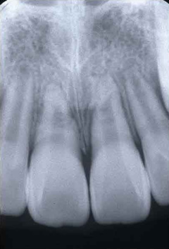
写真は2本の歯の複雑な歯根破折と別の1本の挺出性脱臼(折れずに抜けている)、および、上あご真ん中で大きな歯槽骨骨折を起こした患者さんの治療前の写真です。
多くの損傷があり、処置はそれほど簡単ではないのですが、けがをした直後であったこと、受傷歯が幼若永久歯(歯根がまだ十分に完成していない)であったこと、処置が正確であったことから、抜歯も考えなければならないような歯が、神経も残すことができ、何事もなかったかのように治っています。

※画像をクリックすると、拡大画像が開きます。
受傷直後受傷直後
処置直後処置直後
治療後治療後

受傷直後受傷直後
処置直後処置直後
治療後治療後

「外傷」は最初の処置しだいで結果が大きく異なります。当院は外傷の程度を診断する上で大きな威力を発揮するCTを備えており、経験豊富な歯科医・歯科衛生士が待機していますので安心してご相談ください。

↑Pagetop
  • 医院紹介
  • スタッフ紹介
  • 滅菌・消毒
  • 顎顔面口腔育成治療
  • インプラント
  • エステティック(審美)
  • 歯内治療
  • 歯周治療
  • 歯の外傷
  • 無痛治療
  • レーザー治療
  • 虫歯予防
  • 咬合治療
  • 健康コラム
  • 院長ブログ
長崎県松浦市の歯科 末竹歯科医院 Suetake Dental Clinic 〒859-4501 長崎県松浦市志佐町浦免1344
ご予約・お問い合わせTEL:0956-72-5072 【月・火・木・金曜日】 9:00 am 〜 6:00 pm【水・土曜日】9:00 am〜12:30 pm
Copyright (C) 2003-2010. Suetake Dental Clinic. All Rights Reserved.